아미랑 암치료의 핵심

아미랑만의 차별점

아미랑의원은 암 진단부터 치료, 회복까지
환자의 삶을 중심에 둔 따뜻한 의학을 실천합니다.

암, 포기하지 않으면 아직 끝난게 아닙니다

꾸준한 연구를 토대로 한
올바른 암 치료

암세포는 일반 세포와 달리 끊임없이 변형된 DNA를 지니고
분열을 반복하기 때문에, 단순한 면역 치료만으로는
완전히 극복하기 어렵습니다.
따라서 암 치료는 효과가 입증된 방법과 꾸준한 연구 결과를 바탕으로, 올바른 치료 방향을 설정하는 것이 무엇보다 중요합니다. 아미랑의원은 단기간의 치료에만 의존하지 않고,
암세포와의 긴 싸움 속에서
환자와 끝까지 함께하는 역할
을 다하고 있습니다.

아미랑이 특별한 이유, 첫번째

풍부한 암 치료 장비 인프라

아미랑의원은 고주파 온열치료기 22대, 고압산소치료기 3대를 비롯한 다양한 첨단 장비를 보유하고 있습니다.
충분한 장비 인프라를 통해 환자가 기다림 없이 안정적이고 집중적인 치료를 받을 수 있는 환경을 제공합니다.

고주파온열치료기
22대 보유
고주파온열치료

체온을 상승시켜 면역력을 높이고,
열에 민감한 암세포를 선택적으로 제거합니다.

고압산소치료기
3대 보유
고압산소치료

고농도의 산소를 체내 깊숙이 공급해
조직 재생과 염증 완화, 항암 치료 후 회복을 돕습니다.

아미랑이 특별한 이유, 두번째

환자 맞춤형 통합 치료 방법

고주파 온열치료, 고압산소치료, 면역치료 등 다양한 치료법을 도입하여 환자 상태에 맞는 최적의 치료를 진행합니다.
각 환자의 상황과 필요를 고려한 맞춤형 접근으로 치료 효과를 극대화하고 삶의 질을 지켜드립니다.

고주파온열치료
자세히 보기
고압산소치료
자세히 보기
고용량 비타민C 치료
자세히 보기
항암치료
아미랑이 특별한 이유, 세번째

수많은 치료 사례로 입증된 신뢰

좋아질 수 없다고 했던 순간에도 포기하지 않은 분들과
함께한 결과, 변화는 가능했습니다. 아미랑과 함께
일상으로 복귀하신 분들의 이야기를 들려드립니다.

자세히 보기
2024.1.30 치료 전
2024.5.21 치료 1개월 후
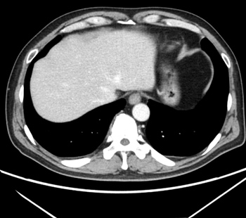
2023.2.2 복부 CT
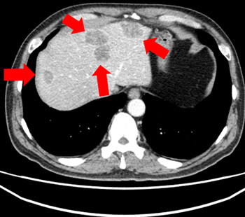
2025.3.14 복부 CT
2025.1.16 CT
2025.4.9 CT

※ 동일한 조건에서 촬영된(사진에 대한 별도 조작이 처리되지 않은) 본원에서 진료 및 치료를 받으신 고객(들)의 사진입니다.
사진의 결과는 사례에 기반한 참고 자료로, 개인별 치료 결과는 상이할 수 있습니다.
또한 치료 후에는 홍반, 열감, 피로감, 근육통, 저혈습 등 부작용이 발생할 수 있습니다.